치아를 지키다
미니쉬하다

미니쉬치과 강남점은 자연치아 손상없이
아름다운 스마일 라인을 만들기 위해
최첨단 기술과 장비, 전문 인력으로 고객님을 맞이하겠습니다.

미니쉬 TYPE

증상별 적합한 미니쉬 타입은?
앞니, 잇몸 어금니까지 모든 증상에 적용 가능합니다.

What is DUAL MINISH?

DUAL MINISH

듀얼 미니쉬는 무엇인가요?

듀얼 미니쉬는 광범위한 치아 손상으로 치아의
전반적인 보호가 필요할 경우,불필요한 치아 삭제 없이
손상된 치아의 전문 (순, 설면)을 보호해주는 치료 방법입니다.

치아 파절

치아 부식

치아 마모

치아 실금(크랙)

MINISH

어떤 경우 듀얼 미니쉬가 적당할까?

앞니의 광범위한 손상이 있을 경우 치아는 외부의 자극에
더 쉽게 손상될 수 있어 치아를 전면(순면, 설면)에서
감싸줘야합니다.

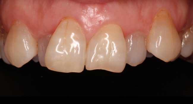
DUAL MINISH Case

증상으로 살펴보는 듀얼 미니쉬 전후 변화

# 치아 마모

# 치아 부식

# 치아 파절

# 치아 실금 (크랙)

개인에 따라 치료 기간이 다를 수 있으며, 부작용이 발생할 수 있으니
의료진의 정확한 진료를 받고 치료를 진행하시기 바랍니다.

What is PINK MINISH?

PINK MINISH

핑크 미니쉬는 무엇인가요?

핑크 미니쉬는 치아와 자연스러운 연분홍빛 잇몸을
기능적·심미적으로 개선하는 치료 방법입니다.

내려간 잇몸, 치아뿌리 노출, 길어보이는 치아

MINISH

어떤 경우 핑크 미니쉬가 적당할까?

치아 노화나 외부의 충격으로 인해 앞니의 잇몸이 꺼지거나
풍치가 심해 치아의 뿌리가 보이거나, 교정 후에 심한 잇몸
현상이 생겼을 경우 심미적인 개선과 잇몸 건강 관리에
용이한 구강 환경을 만들어 주어야 합니다.

PINK MINISH Case

증상으로 살펴보는 핑크 미니쉬 전후 변화

# 치아 뿌리 노출

# 내려간 잇몸

# 길어보이는 치아

개인에 따라 치료 기간이 다를 수 있으며, 부작용이 발생할 수 있으니
의료진의 정확한 진료를 받고 치료를 진행하시기 바랍니다.

What is MINISH BRIDGE?

BRIDGE MINISH

미니쉬 브릿지는 무엇인가요?

미니쉬 브릿지는 치아가 상실되었을 때, 상실된 치아의
앞뒤 치아를 이용하여 상실된 치아를 수복합니다.

치아와 잇몸뼈 상실

MINISH

어떤 경우 미니쉬 브릿지가 적당할까?

치아 상실 후 치조골(잇몸뼈)의 상실로 임플란트 수술이 어렵거나,
수술에 대한 공포감이 있는 경우 또는 전치부 치아를 상실한 경우
건강한 치아 생활을 위해 상실된 치아를 복구해야 합니다.

MINISH

일반 크라운 브릿지 VS 미니쉬 브릿지

일반 크라운 브릿지와 미니쉬 브릿지 차이점을 확인하세요!

증상으로 따라 달라지는
미니쉬 브릿지 종류

미니쉬 윙 브릿지

미니쉬 비니어 브릿지

미니쉬 윙 브릿지

상실된 치아의 양 옆에 위치한
치아가 건강할 경우

상실된 치아 공간을 보철로 메워준 후 양옆 날개
형태의 구조물을 달아서 접착을 합니다.

[추천 유형]
① 결손치 양옆 치아가 건강한 상태
② 치아 삭제에 대한 거부감이 있는 경우

미니쉬 비니어 브릿지

상실된 양옆 치아의 치료가
함께 필요한 경우

손상된 부위에 수복될 비니어 형태의 보철물과 결손된 치아
부분에 들어갈 인공치아 부분을 하나로 연결하는 방법입니다.

[추천 유형]
① 결손치 양옆 치아가 손상된 상태
② 마모,부식,충치,크랙 등으로 치료가 필요한 경우

BRIDGE MINISH Case

증상으로 살펴보는 미니쉬 브릿지 전후 변화

# 상실된 치아

개인에 따라 치료 기간이 다를 수 있으며, 부작용이 발생할 수 있으니
의료진의 정확한 진료를 받고 치료를 진행하시기 바랍니다.

What is MOLAR MINISH?

MOLAR MINISH

어금니 미니쉬는 무엇인가요?

어금니 미니쉬는 수복물 파절, 2차 충치 등의 부작용 발생 시
크라운을 재시행 할 수 있는 보존적인 방법입니다.

MINISH

어떤 경우 어금니 미니쉬가 적당할까?

충치가 큰 치아, 금이 간 치아, 파절된 치아, 신경치료 한 치아 등
어금니에 광범위한 치아 손상이 있을 경우 치아 손상을
최소화하여 진행할 수 있습니다.

MOLAR MINISH Case

증상으로 살펴보는 어금니 미니쉬 전후 변화

# 마모된 어금니

# 충치가 큰 어금니

개인에 따라 치료 기간이 다를 수 있으며, 부작용이 발생할 수 있으니
의료진의 정확한 진료를 받고 치료를 진행하시기 바랍니다.

1661-2854

연락주시면 상담을 도와드리겠습니다. 감사합니다.

상담 신청이 성공적으로 완료 되었습니다.

빠른 시일 내에 답변드리겠습니다. 감사합니다.

개인정보처리(취급)방침