치아를 지키다
미니쉬하다

미니쉬치과 강남점은 자연치아 손상없이
고객님의 자연스러운 아름다움을 위해
최고의 고객 만족 서비스를 제공하겠습니다.

나에게 더 어울리는 예쁜 치아로 만들어 드릴게요

심미 클리닉

치아의 모양부터 색상, 질감에 대한 개선을 원하신다면
1:1 고객 맞춤형 개선 프로그램을 제안드립니다

치아 삭제가 부담 된다면?
부담 없이 선택 할 수 있는

무삭제 라미네이트

Non-Prep

Laminate

치아 삭제를 하지 않는

무삭제 라미네이트

치아의 삭제 없이 자연 상태를 유지한채 가공된
세라믹을 치아 위에 덧붙여 원하는 치아 모양과 색상을
표현하는 시술입니다.

치아의 삭제 없이 자연 상태를 유지한채 가공된 세라믹을
치아 위에 덧붙여 원하는 치아 모양과 색상을 표현하는
시술입니다.

<

삭제가 없어서 좋은 점은?

  • 건강한 자연치아 보존

  • 치아 삭제로 인해
    발생하는 부작용 낮음

    *부작용 : 이시림, 통증 등

무삭제 라미네이트에 적합한 치아는?

벌어진 치아

작은 치아 (왜소치)

들어간 치아 (옥니)

미니쉬치과 강남점의
무삭제 라미네이트
이렇게 제작됩니다.

  • Detail 01

    오차를 없앤

    정밀한 진단

    치료전, 정밀검사를 통해 치아와 잇몸 등
    환자분의 구강 상태를 파악합니다

  • Detail 02

    진단에 따른

    치료 계획 수립

    철저히 치료 목적에 따른 계획을 수립하여
    진행하며, 과잉 없는 진료를 보이고 있습니다.

  • Detail 03

    더욱 세밀하게!

    섬세한 치아 디자인

    수립한 계획에 맞는 환자 개별 맞춤형
    치아 디자인을 실현 하고 있습니다.

  • Detail 04

    숙련된 경험으로

    맞춤형 치아 완성

    제작된 수복물은 고객님의 치아에 단단하게
    부착시킨 후 마무리 작업을 합니다.

무삭제라미네이트로
진행이 어려운 치아
일 경우?

무삭제라미네이트는 극히 제한적인 경우에
적용할 수 있는 시술입니다.
무삭제라미네이트가 적절하지 않다면
치아복구솔루션인 미니쉬를 제안드립니다.
미니쉬는 치아손상 없이 색상, 질감,
투명도를 개선할 수 있습니다.

전문 의료진을 통해 본인의 치아 상태를 정확히 진단 후
적합한 치료방법을 선택하시는 것이 좋습니다.

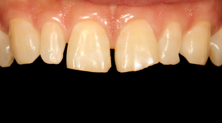
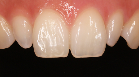
MINISH Case

미니쉬 전후 변화

미니쉬에 더 궁금해 졌다면? 확인해보세요!

미니쉬 더 알아보기

더 이상 가리지말고
환하게 웃을 수 있게

작은 디테일까지 잡은

라미네이트

Laminate

앞니의 심미 개선을 위한

라미네이트

치아를 얇게 다듬은 후 가공된 세라믹을 치아 위에 덧붙여
원하는 치아 색상과 모양, 크기, 길이 등을 개선하는
시술입니다.

정답 : 4가지 케이스 모두 다

어떤 경우
라미네이트가
적당할까?

Laminate

어떤 경우 라미네이트가
적당할까?

라미네이트에 적합한 치아는?

색상 및 벌어진 치아

누런 치아

깨진 치아

미니쉬치과 강남점의
라미네이트는 이렇게 제작됩니다.

  • Detail 01

    오차를 없앤

    정밀한 진단

    치료전, 정밀검사를 통해 치아와 잇몸 등
    환자분의 구강 상태를 파악합니다.

  • Detail 02

    진단에 따른

    치료 계획 수립

    철저히 치료 목적에 따른 계획을 수립하여
    진행하며, 과잉 없는 진료를 보이고 있습니다.

  • Detail 03

    더욱 세밀하게!

    섬세한 치아 디자인

    수립한 계획에 맞는 환자 개별 맞춤형 치아 디자인을
    실현 하고 있습니다.

  • Detail 04

    숙련된 경험으로

    맞춤형 치아 완성

    제작된 보철물은고객님의 치아에 단단하게
    부착시킨 후 마무리 작업을 합니다.

라미네이트로 인한
치아 삭제량
이 걱정된다면?

라미네이트로 인한 치아 삭제량, 부작용이 걱정되신다면 치아 손상 없는 방법의 일환으로
치아복구솔루션인 미니쉬를 제안드립니다.

색상 뿐만 아니라 질감과 투명도 개선까지 가능해 본인의 치아 상태를
정확히 진단 후 적합한 치료방법을 선택하시는 것이 좋습니다.

라미네이트로 인한 치아 삭제량, 부작용이
걱정되신다면 치아 손상 없는 방법의 일환으로
치아복구솔루션인 미니쉬를 제안드립니다.

색상 뿐만 아니라 질감과 투명도 개선까지 가능해
본인의 치아 상태를 정확히 진단 후
적합한 치료방법을 선택하시는 것이 좋습니다.

MINISH Case

미니쉬 전후 변화

미니쉬에 더 궁금해 졌다면? 확인해보세요!

미니쉬 더 알아보기

언제 어디서나 밝은미소로
환하게 웃을 수 있게

1661-2854

연락주시면 상담을 도와드리겠습니다. 감사합니다.

상담 신청이 성공적으로 완료 되었습니다.

빠른 시일 내에 답변드리겠습니다. 감사합니다.

개인정보처리(취급)방침