치아를 지키다
미니쉬하다

미니쉬치과 강남점은 자연치아 손상없이
아름다운 스마일 라인을 만들기 위해
최첨단 기술과 장비, 전문 인력으로 고객님을 맞이하겠습니다.

중요한 순간, 자신감이 높아집니다.

미백 클리닉

환한 미소가 오랫동안 유지되도록
미니쉬치과 강남점에서 치료 계획을 수립해드립니다.

이런 고민은 왜 나타날까?

치아 색상으로 인한
수많은 고민들?

치아 색상에 영향을 주는 것은 외부적 요인과
내부적 요인으로 나뉩니다.

외부적 요인

음식

음식물로 인해 치아
표면에 색소 침착

흡연

니코틴과 타르 성분이
쌓여 색소 침착

내부적 요인

노화

치아 마모로 내부 색상 노출

외상

강한 외부 충격으로 파괴된 부분의 착색

신경치료

괴사조직, 세균감염 등으로 발생

약물

잘못된 섭취로 인한 변색

중요한 순간, 자신감이 높아집니다.

증상에 따라 달라지는
미백 클리닉

Teeth Whitening

전문가 미백

변색된 치아나 후천적으로 색이 누런 치아의 색을
화학용품을 이용해 원래 색조로 회복 혹은 더 밝게
만드는 시술입니다.

Teeth Whitening

이런 경우,
전문가 미백이 필요합니다

  • 변색으로 인한
    누런 치아

  • 밝은 이미지를
    만들고 싶은 경우

  • 치아 색상 컴플렉스

  • 결혼을 앞두고
    빠르게 이미지 변신

어떻게?

전문가 미백의 원리는?

치아 겉표면(에나멜) 층에 있는 착색물질을
과산화수소(미백제)가
분해시킴으로 미백효과가
나타나게 됩니다.

Teeth Whitening Case

전문가 미백 전후 변화

Teeth Whitening

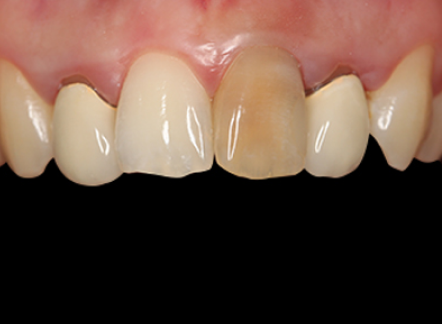
실활치 미백

신경(치수)가 외부 자극에 의해 괴사되어
회색 또는 짙은 갈색으로 변한 치아를 원래
색조로 밝게 만드는 시술입니다.

Teeth Whitening

이런경우,
실활치 미백이 필요합니다

  • 신경치료 후
    색상이 변한 경우

  • 회색 또는 짙은 갈색을
    보일 경우

  • 안쪽 치아 색상
    변화가 필요한 경우

  • 외상에 의해 일부 치아
    색상이 변한 경우

  • 특정 치아의 색상이
    어둡게 변한 경우

어떻게?

실활치 미백의 원리는?

변색의 원인인 신경(치수)를 제거하여 제거한 자리에
치아미백제(과붕산나트륨 성분)을 넣어
치아 미백 효과가 나타나게 됩니다.

⚠ 간혹 치료 시기를 놓쳐 신경(치수)가 말라버린 경우, 실활치
미백을 시도할 수 없습니다.

  • 1 단계

    변색된 치아

  • 2 단계

    신경치료 완료

  • 3 단계

    미백제 도포

  • 4 단계

    실활치 미백 완료

  • 1 단계

    변색된 치아

  • 2 단계

    신경치료 완료

  • 3 단계

    미백제 도포

  • 4 단계

    실활치 미백 완료

Teeth Whitening Case

실활치 미백 전후 변화

Gum Bleaching

잇몸 미백

잇몸에 침전된 멜라닌 색소를 제거해
검게 착색된 잇몸을 건강한 선홍빛 잇몸으로
되돌려 주는 시술입니다.

Gum Bleaching

이런경우,
잇몸 미백이 필요합니다

  • 잇몸이 검게
    착색된 경우

  • 흡연으로 인한
    타르 · 니코틴 성분이
    잇몸에 침착된 경우

  • 금속 보철물 등으로
    검게 변색된 경우

  • 햇빛에 과다 노출되어
    검게 변한 경우

어떻게?

잇몸 미백의 원리는?

멜라닌이 축적된 검은 잇몸부분의 멜라닌 색소를 제거하고 상피층 아래에
건강한 잇몸을 바깥으로 노출시켜 잇몸 색상을 회복시킵니다.

멜라닌이 축적된 검은 잇몸 부분의 멜라닌 색소를
제거하고 상피층 아래에 건강한 잇몸을 바깥으로
노출시켜 잇몸 색상을 회복시킵니다.

  • 착색된 잇몸

  • 멜라닌 색소 제거

  • 잇몸 결합 조직중 균일하게 노출

  • 1-2주 후 선홍빛 잇몸으로 회복

Gum Bleaching Case

잇몸 미백 전후 변화

치아미백으로
해결되지 않는
심미적 문제는?

미백만으로 심미적인 결과를 얻는 데 한계가 있으며,
정기적인 미백 치료가 불가능한 경우에는
치아 손상 없는 영구 미백 방법의 일환으로
치아복구솔루션인 미니쉬를 제안드립니다.

색상 뿐만 아니라 질감과 투명도 개선까지 가능해
본인의 치아 상태를
정확히 진단 후
적합한 치료방법을 선택하시는 것이 좋습니다.

MINISH Case

미니쉬 전후 변화

미니쉬에 더 궁금해 졌다면? 확인해보세요!

미니쉬 더 알아보기
1661-2854

연락주시면 상담을 도와드리겠습니다. 감사합니다.

상담 신청이 성공적으로 완료 되었습니다.

빠른 시일 내에 답변드리겠습니다. 감사합니다.

개인정보처리(취급)방침